Os nódulos císticos de tireoide podem ser detectados a partir da realização de exames de rotina, como a ultrassonografia, por exemplo. Na maioria dos casos, essa produção anormal de células é benigna e assintomática.
Contudo, é possível que o nódulo cístico gere lesões e passe a prejudicar a qualidade de vida do paciente. Alguns dos impactos possíveis são dificuldade para falar, deglutir e até respirar. Outro possível prejuízo é estético, pois causa uma proeminência na região do pescoço.
Sendo assim, em conjunto com o paciente, o médico endocrinologista pode decidir pela alcoolização: uma opção de tratamento capaz de reduzir os nódulos císticos de tireoide que trazem desconfortos ao paciente permitindo que ele resolva suas queixas preservando sua tireoide bem como o seu funcionamento.
O procedimento, que também é conhecido como escleroterapia ou ablação percutânea por etanol. Esse procedimento consiste em esvaziar o conteúdo líquido desse nódulo e sem seguida, através da mesma agulha utilizada para o seu esvaziamento, realizar a injeção percutânea de álcool etanol absoluto diretamente no nódulo, a fim de impedir que o nódulo esvaziado volte a aumentar de volume.
Trata-se de um procedimento simples, minimamente invasivo, praticamente indolor e que pode ser realizado em consultório habilitado, trazendo conforto e praticidade ao paciente.
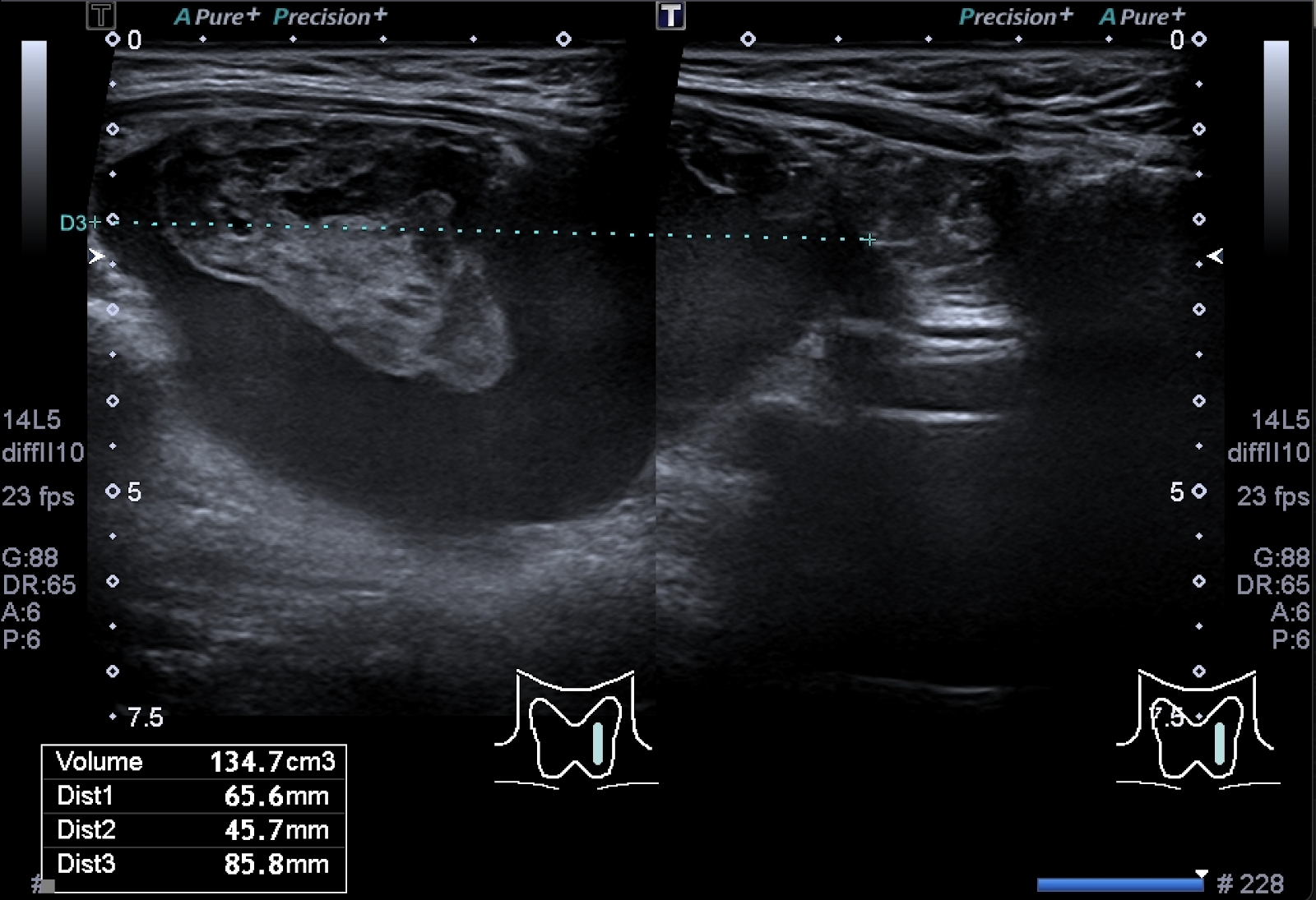
Exame pré alcoolização: volume de 135mL


Resultado após alcoolização: volume 1,3mL
Por que injetar etanol no nódulo cístico?
O etanol é um agente esclerosante que causa desidratação e coagulação do conteúdo do cisto. Além de apresentar resultados positivos para nódulos tireoidianos sintomáticos, a injeção percutânea de álcool é menos invasiva do que outras abordagens cirúrgicas.
Por isso, a alcoolização torna-se uma opção de tratamento mais segura e viável para aqueles que têm contra-indicações ou simplesmente não querem se submeter à retirada da tireoide ou lobectomia.
O que considerar antes da alcoolização?
Antes de executar a alcoolização, o endocrinologista deve realizar uma avaliação clínica do paciente, considerando o tamanho e a localização do nódulo cístico, bem como o grau de malignidade dentro da classificação de Bethesda.
Gostaria de agendar uma consulta? Clique Aqui.