A classificação de Bethesda, também conhecida como sistema de Bethesda, é uma escala de risco de malignidade dos nódulos de tireoide utilizada após a realização da PAAF (Punção Aspirativa por Agulha Fina) em que as células extraídas desse nódulo (citologia) são avaliadas quanto às suas características .
O sistema em questão leva este nome porque sua deliberação científica deu-se na cidade de Bethesda, nos Estados Unidos.
Ele foi criado com o intuito de padronizar o diagnóstico de eventuais neoplasias tireoidianas e apresenta seis categorias diferentes, que avaliam se um nódulo é maligno ou não.
Como a classificação de Bethesda é aplicada?
A Punção Aspirativa por Agulha Fina (PAAF) é indicada quando o nódulo na tireoide apresenta características suspeitas pela ultrassonografia ou quando ele muda suas características ou quando passa a crescer ou ainda quando traz sintomas ao paciente.
Ao realizá-la, a amostra de células vai para a análise citológica ao microscópio, que evidenciará a natureza do nódulo e assim poderá ser classificado segundo o sistema Bethesda.
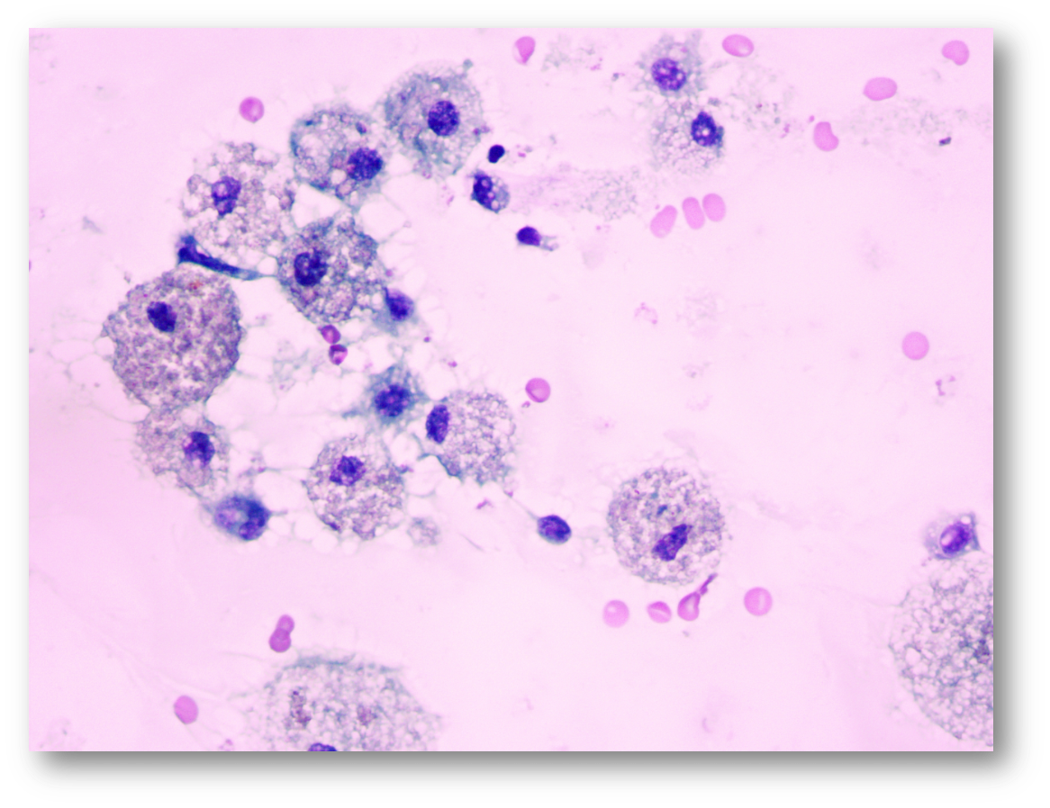
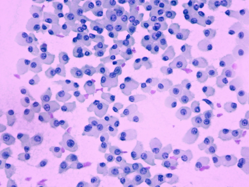
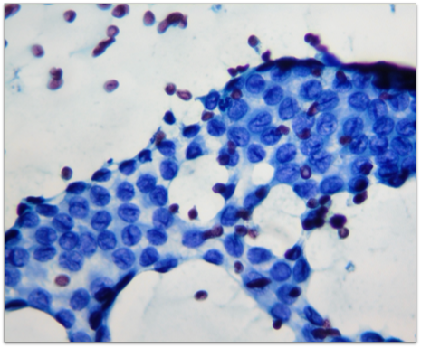
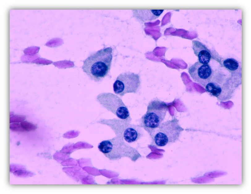
Os critérios diagnósticos do Sistema Bethesda de Classificação do ano 2023:
É possível que os achados citopatológicos sejam interpretados das seguintes maneiras:

Neste caso, é recomendada a repetição da PAAF guiada por ultrassonografia para uma nova coleta de material;



Para interpretar corretamente esse resultado o ideal é correlacionar com a imagem da ultrassonografia desse nódulo. Pode-se também repetir a PAAF a fim de avaliar se em outra amostra é possível determinar melhor as características dessas células.


Para interpretar corretamente esse resultado o ideal é correlacionar com a imagem da ultrassonografia desse nódulo, uma vez que essa categoria pode indicar tanto neoplasias benignas como malignas. Pode-se também repetir a PAAF a fim de avaliar se em outra amostra é possível determinar melhor as características dessas células. Além disso, também é possível realizar testes moleculares dessas amostras, os quais avaliam geneticamente essas amostras quanto a mutações genéticas relacionadas à malignidade.


Diante da grande possibilidade de câncer na tireoide, é preciso analisar adequadamente as características desse nódulo na ultrassonografia (tamanho, localização, invasão de estruturas, crescimento, presença de metástases, …) a fim de definir o melhor procedimento para cada caso como seguimento, ou retirada de metade da tireoide, ou retirada de toda a tireoide ou ainda a necessidade de esvaziamento do pescoço.

Diante do resultado de um câncer na tireoide, antes da tomada de qualquer decisão é fundamental consultar-se com um endocrinologista especialista em câncer de tireoide a fim dele analisar se as características desse resultado indicam algum subtipo de câncer mais agressivo, bem como correlacionar esses dados com as características desse nódulo à ultrassonografia (tamanho, localização, invasão de estruturas, crescimento, presença de metástases, …). Assim é possível determinar o melhor procedimento para cada caso, como seguimento, retirada de metade da tireoide, ou retirada de toda a tireoide ou ainda a necessidade de esvaziamento do pescoço.
Qualquer resultado precisa ser individualizado segundo às características daquele paciente, uma vez que cada um apresentará particularidades pessoais e familiares únicas. Desse modo, independente do seu laudo diagnóstico, não se desespere e não se compare a nenhum outro caso. Você deverá ser avaliado pelo endocrinologista especialista em câncer de tireoide, o qual levará em consideração todas características da sua história bem como seus receios para que a melhor conduta seja tomada para o seu caso!
Nem todo câncer de tireoide é igual e eles podem variar em relação à agressividade, velocidade de desenvolvimento, entre outras características. O carcinoma medular de tireoide (CMT), por exemplo,apresenta-se, na maioria dos casos, como mais agressivo do que os outros. Em boa parte das vezes, ele também é hereditário, algo que traz uma possibilidade de rastreio precoce em alguns casos.